人体の構造について
劇場公開日:2024年11月22日
- 予告編を見る
- U-NEXTで
本編を見るPR
解説・あらすじ
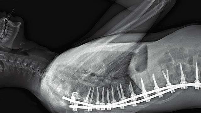
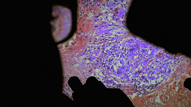
医師の視点から外科手術を見つめ、人体の神秘と人間の恐怖の根源に迫ったドキュメンタリー。
パリ北部近郊の5つの病院のオペ室を舞台に、普段は決して見ることのできない手術時の医師視点のカメラや内視鏡カメラなどの映像を使用しながら、脳や大腸、眼球、男性器などさまざまな外科手術や帝王切開の模様を映しだす。さらに、死と隣りあわせの職場で働く医療従事者たちの心境や、死体安置所での「おくりびと」たちの仕事ぶりをとらえ、医療とは何か、そして肉体と魂とは何かという疑問を探る。
監督は、2004年の長編デビュー作「リヴァイアサン」で世界的に注目を集めたハーバード大学感覚人類学研究所の人類学者監督コンビ、ルーシァン・キャステーヌ=テイラー&ベレナ・パラベル。医学者・解剖学者の養老孟司が日本語字幕監修を担当。
2022年製作/118分/PG12/フランス・スイス・アメリカ合作
原題または英題:De humani corporis fabrica
配給:トランスフォーマー、TBSテレビ
劇場公開日:2024年11月22日

行き止まりの世界に生まれて
FLEE フリー
ビッグ・リトル・ファーム 理想の暮らしのつくり方
ナワリヌイ
シチズンフォー スノーデンの暴露
わたしは金正男を殺してない
ヒッチコック/トリュフォー
ドキュメンタリー オブ ベイビーわるきゅーれ
妖怪の孫
名付けようのない踊り





























